半岛平台

Products

Femoral Arteriovenous Puncture & Abdominocentesis Ultrasound Training Model

Model TYE1565
Product size(mm)560×370×170

Outline

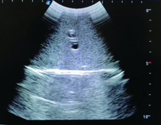
This model is an ideal choice for ultrasound-guided femoral arteriovenous puncture & abdominocentesis training with true-to-life skin feel and touch, accurate anatomical structures and real clinical ultrasound images. Realistic resistance to needle tips and correct landmarks provide excellent hands-on experience.


Skills Gained

· Recognition of landmarks by ultrasound and image interpretation

· Abdominal percussion

· Abdominocentesis

· Femoral arterionevous puncture


Features

· Anatomy: 

  Abdomen, anterior superior iliac spine, navel, symphysis pubis, groin, femoral artery, femoral veins, etc.

 · Realism:

   1)  Advanced material for true-to like skin touch, feel and puncture

   2)  Real clinical ultrasound images with clear anatomical structures like intestines, part of the liver, arteries and veins, etc.

 · Key Features:

1)  Ultrasound-guided puncture and abdominocentesis practice

2)  Resistance & “pop” felt through the needles   

3)  Durable and replaceable puncture pads

4)   Fluid available after successful puncture


Tellyes, Virtually Real

Stock code :833047

Address:2nd & 3rd Floor, West 6th Building, 18 West HaiTai Road, Tianjin, China

Postcode:300384

Phone:4006-355-510

+86-22-83711066

Fax:+86-22-83711065

Email:

Tellyes Scientific INC.  Copyright